La carie est une maladie infectieuse dont l’évolution est due à la plaque dentaire formée par les bactéries et les résidus alimentaires qui se déposent à la surface de vos dents.
On distingue quatre niveaux de lésions :
La carie est une maladie infectieuse dont l’évolution est due à la plaque dentaire formée par les bactéries et les résidus alimentaires qui se déposent à la surface de vos dents.
On distingue quatre niveaux de lésions :
Les bactéries s’attaquent d’abord à l’émail de la dent.
Cette étape n’est pas douloureuse mais laisse un aspect râpeux qui accroche au contact de la langue.
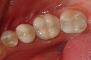
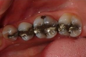
Votre chirurgien-dentiste nettoiera cette cavité avant de l’obturer avec un plombage ou un composite de la couleur de la dent.
La carie poursuit son évolution vers la dentine, ce qui provoque des sensibilités au froid, au sucre et au chaud.
Des tassements alimentaires et des mauvaises odeurs peuvent apparaître alors.
Après le nettoyage de la cavité, il sera souvent nécessaire d’obturer avec un inlay ou un onlay.
Une fois le nerf atteint, une douleur intense donne l’impression de sentir battre son coeur.
Il est alors indispensable de dévitaliser la dent (d’en enlever le nerf) et de remplacer la pulpe par une pâte désinfectante et étanche.
Enfin, il faudra protéger la dent ainsi fragilisée par une couronne.
Quand la carie a été négligée au point de provoquer une infection au-delà de la racine, la douleur est souvent insupportable.
On observe un gonflement de la gencive, une suppuration et une sensibilité à la pression.
Un traitement trop tardif peut provoquer la perte de cette dent déjà fortement abîmée.
L’endodontie consiste à enlever de vos racines le nerf malade, car il est inguérissable. Vos racines seront ensuite rigoureusement nettoyées et désinfectées.
Le nerf sera remplacé par des matériaux biologiques. La dent est donc dévitalisée.
Comment se déroule un traitement endodontique ?
Une extraction dentaire est un soin dentaire ultime qui n’est jamais réalisée le cœur léger par un chirurgien-dentiste.
Elle est parfois nécessaire quand les autres solutions ont échoué.
Ces absences sont palliées par des bridges dentaires, des implants ou des appareils dentaires amovibles.
Une extraction peut être :
Les suites d’une extraction sont en général assez simples.
Le chirurgien-dentiste place parfois un carré hémostatique dans la cavité afin de stopper le saignement et prescrit un antidouleur au patient pour anticiper le réveil de l’anesthésie locale.
Un patient cardiaque sera mis systématiquement sous antibiotique avant ce soin dentaire.Les anesthésies avant les soins dentaires.
Les anesthésies prennent plusieurs formes selon le soin dentaire pratiqué :
La plupart des agents anesthésiques sont avec ou sans adrénaline, celle-ci étant déconseillée aux cardiaques ou aux hypertendus.
Le détartrage est le soin dentaire de base, couramment pratiqué dans les cabinets dentaires.
Le tartre est de la plaque dentaire minéralisée. Il se dépose sur la surface des dents ou sous la gencive, ce qui peut provoquer des gingivites.
Le chirurgien-dentiste le retire à l’aide d’un appareil à ultra-son.
Ces soins dentaires sont primordiaux avant de poser des prothèses dentaires ou des implants. Comme une maison doit être bâtie sur un terrain sain, des prothèses doivent être posées sur des gencives saines.
Wordpress themes JazzSurf
