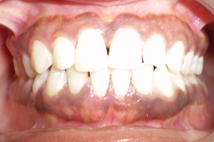
Dangereuse gingivite et parodontite car on ne sent aucune douleur La gingivite et la parodontite sont les formes les plus courantes de la maladie parodontale.

La gingivite est une inflammation aiguëe ou chronique des gencives due à la plaque dentaire.

Les signes en sont une gencive rougie et gonflée qui saigne facilement sans provoquer de douleur.

La parodontite s’accompagne d’une perte osseuse et d’une mobilité dentaire anormale.

En effet, souvent les patients ne ressentent pas de douleur et consultent trop tard le dentiste, c’est-à-dire quand la maladie atteint déjà un stade bien avancé.

Nous combattons le développement de la maladie parodontale en insistant essentiellement aux patients a avoir une très bonne hygiène buccale et surtout au moins une fois par an a faire un détartrage surfaçage radiculaire professionnel.

Toute perte des tissus de soutien de la dent est irréversible.

Ce qui est perdu ne pourra plus être récupéré ni se regenerer.

Il n’y a pas de cicatrisation « ad integrum ». Ni la gencive , ni l’os, ni le ligament ne remonte le long de la racine.

Le traitement parodontal permettra de stabiliser les tissus de soutien afin de conserver la dent.

De plus le déchaussement dentaire doit être considéré comme une maladie infectieuse.

Cette maladie parodontale devra donc être traitée tout au long de la vie.

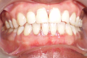
La gingivite est une inflammation de la gencive due à la présence de tartre.

Elle est associée à des gencives rouges et sensibles ainsi qu’à des saignements.

Quand envisager une greffe de gencive ?

La greffe de gencive, appelée greffe gingivale, s’envisage dans le cas où les dents sont déchaussées.

La dent est déchaussée lorsque la racine apparaît et que la gencive, pour une raison quelconque, s’est rétractée.

Si on laisse les choses en l’état, la gencive risque de se rétracter encore et la dent de tomber.

Votre praticien n’envisagera une greffe de gencive que lorsque vous ressentirez une gêne réelle.

L’intervention est relativement pénible. Une légère rétractation ne mettant pas en péril votre dent, ne nécessitera pas de greffe de gencive.

C’est lorsque la dent est menacée ou que la douleur liée à la rétractation est trop vive que l’on envisagera la greffe de gencive.

Wordpress themes JazzSurf